Sobre nosotros


Somos un laboratorio diferente, contamos con todo el conocimiento clínico y técnico para ayudarte a entregar las mejores sonrisas.
Conoce nuestro equipo, instalaciones y objetivos
Servicios
Ofrecemos soluciones dentales personalizadas a cada paciente, trabaja con protocolos probados con conocimientos científicos.


CAD-CAM
Diseñamos y fabricamos prótesis dentales y guías quirúrgicas con la mejor tecnología
Planificación
Ayudamos al dentista a crear planes de tratamientos visuales para el paciente en casos de alta complejidad
Personalización
Caracterizamos con estratificación cerámica, en resina o composite para resultados naturales.


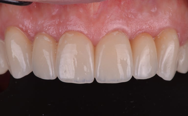
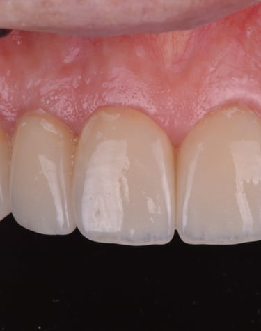
Casos Clínicos
Explora las posibilidades clínicas que podemos lograr a través de las diferentes disciplinas.
E.max / BOPT
Estratificación cerámica
Cirugía de implantes guiada
Planificación de casos
Sobredentadura / barra microfresada
Prótesis removible sobre implantes
Trabajemos juntos
¿Tienes un caso complejo que quieres discutir?
Estamos siempre disponibles para ofrecer las mejores soluciones a tus pacientes
Contacto
Hecho para clínicas exigentes
Teléfono
lab@dentalmatdesign.com
+34 642 15 80 24
© 2025. All rights reserved.